Nombre Parcourir:1 auteur:Éditeur du site publier Temps: 2023-05-24 origine:Propulsé
Les fractures du tibia, affectant le tibia, peuvent avoir un impact significatif sur la mobilité et les activités quotidiennes.Le traitement de ces fractures nécessite un examen attentif de divers facteurs, notamment le type de fracture, son emplacement et les caractéristiques du patient.Une option chirurgicale qui s'est avérée efficace ces dernières années est l'utilisation d'un clou centromédullaire tibial.Cet article explore les avantages, la technique chirurgicale, les risques et la récupération associés à cette approche de traitement.
Les fractures du tibia peuvent être débilitantes, provoquant des douleurs, une instabilité et des difficultés à marcher.Les méthodes de traitement traditionnelles, telles que le plâtre ou la fixation externe, ont des limites, incitant à explorer des solutions plus avancées comme le clou intramédullaire tibial.

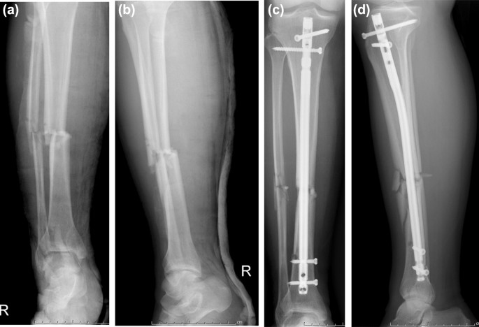
Un clou centromédullaire tibial est un dispositif médical conçu pour stabiliser et favoriser la cicatrisation des fractures de la diaphyse tibiale.Il se compose d'une tige métallique insérée dans le centre creux de l'os, offrant stabilité et soutien pendant le processus de guérison.Le clou est généralement en titane ou en acier inoxydable et est disponible en différentes tailles pour s'adapter aux différentes anatomies des patients.
Les clous centromédullaires tibiaux sont couramment utilisés pour le traitement des fractures de la diaphyse tibiale.Ils sont particulièrement efficaces pour les fractures nécessitant une fixation stable, telles que les fractures déplacées ou comminutives.Cette technique convient également aux cas de mauvaise qualité osseuse ou lorsqu'une mise en charge immédiate est souhaitée.

Une planification préopératoire minutieuse est cruciale pour la réussite de la chirurgie du clou centromédullaire tibial.Cela comprend une évaluation complète du type de fracture, de l'état de santé général du patient et de toute blessure associée.Des techniques d'imagerie telles que les rayons X, les tomodensitogrammes ou l'IRM peuvent être utilisées pour évaluer les caractéristiques de la fracture et guider la prise de décision chirurgicale.
Pendant la chirurgie, le patient est généralement placé en décubitus dorsal sur la table d'opération.La jambe affectée est préparée et drapée de manière stérile.Un bon positionnement est essentiel pour permettre un accès optimal au site de fracture et faciliter l'insertion du clou.
Une incision est faite sur le site chirurgical pour accéder à l'os fracturé.La longueur et l'emplacement de l'incision dépendent du type de fracture et de son emplacement le long du tibia.Une manipulation soigneuse des tissus mous est cruciale pour minimiser les traumatismes et réduire le risque d'infection.
Après avoir créé un point d'entrée dans le tibia proximal, le chirurgien insère avec précaution le clou intramédullaire tibial dans le canal médullaire.Un guidage fluoroscopique est utilisé pour assurer un placement et un alignement précis.Le clou est avancé à travers l'os, réalignant tous les fragments déplacés et rétablissant l'alignement anatomique approprié.
Une fois le clou correctement positionné, des vis de verrouillage sont insérées pour fixer le clou dans l'os.Ces vis offrent une stabilité supplémentaire et empêchent les mouvements de rotation ou axiaux des fragments de fracture.Le nombre et le placement des vis dépendent du type de fracture et de la préférence du chirurgien.
Après avoir assuré un alignement et une fixation appropriés, l'incision est fermée à l'aide de sutures ou d'agrafes.La fermeture des plaies est effectuée méticuleusement pour favoriser la cicatrisation et minimiser le risque d'infection.Un pansement stérile est appliqué et le site chirurgical est protégé.

L'utilisation d'un clou centromédullaire tibial offre plusieurs avantages par rapport aux méthodes de traitement traditionnelles.Certains des principaux avantages incluent :
Fixation stable : Le clou assure une fixation stable, permettant un alignement et une union corrects des fragments de fracture.
Mobilisation précoce : Le clou permet une mobilisation précoce, permettant aux patients de commencer les exercices de mise en charge et de rééducation plus tôt par rapport aux autres méthodes de traitement.
Préservation de l'approvisionnement en sang: En utilisant le canal intramédullaire, la technique du clou intramédullaire tibial minimise la perturbation de l'approvisionnement en sang de l'os, ce qui est crucial pour la guérison des fractures.
Résultats fonctionnels améliorés : Avec une fixation stable et une mobilisation précoce, les patients subissant une chirurgie du clou intramédullaire tibial obtiennent souvent de meilleurs résultats fonctionnels et un retour plus rapide aux activités quotidiennes.
Risque réduit de complications des tissus mous : Par rapport aux méthodes de fixation externe, la technique du clou intramédullaire implique des incisions plus petites et une perturbation réduite des tissus mous, ce qui réduit le risque de complications et d'infections des tissus mous.
Bien que la chirurgie du clou intramédullaire tibial soit généralement sûre et efficace, il existe des complications et des risques potentiels associés à la procédure.Il est important d'être conscient de ces possibilités avant de subir un traitement.Certaines des complications comprennent:
Comme pour toute intervention chirurgicale, il existe un risque d'infection.Cependant, avec des techniques stériles appropriées, une prophylaxie antibiotique et des soins postopératoires, le risque d'infection peut être minimisé.
Dans certains cas, les fragments de fracture peuvent ne pas cicatriser dans l'alignement souhaité ou ne pas cicatriser complètement.Des facteurs tels qu'une réduction inadéquate, une mauvaise qualité osseuse ou une mise en charge excessive peuvent contribuer à un mauvais alignement ou à une pseudarthrose.Une surveillance étroite et, si nécessaire, des interventions supplémentaires telles qu'une chirurgie de révision peuvent être nécessaires.
Bien que rares, des complications liées à l'implant peuvent survenir, telles que le descellement, la rupture ou l'irritation de l'implant.Ces problèmes peuvent nécessiter une intervention chirurgicale supplémentaire pour être résolus.
Au cours de l'intervention chirurgicale, il existe un faible risque de lésion nerveuse ou vasculaire.Les chirurgiens prennent des précautions pour minimiser ce risque, mais les patients doivent être conscients de cette possibilité et signaler rapidement tout symptôme persistant ou s'aggravant.
Après une chirurgie du clou centromédullaire tibial, un programme de rééducation complet est crucial pour une récupération optimale.Le plan de rééducation spécifique peut varier en fonction de la gravité de la fracture, des caractéristiques du patient et des conseils du chirurgien.Les exercices de mouvement précoce, la mise en charge progressive et la thérapie physique jouent un rôle important dans la restauration de la fonction, l'amélioration de la force et la promotion de la guérison osseuse.
De nombreux patients ont connu des résultats positifs avec la chirurgie du clou intramédullaire tibial.Une étude de cas concernait une personne de 35 ans avec une fracture comminutive de la diaphyse tibiale.Après avoir subi une intervention chirurgicale avec un clou intramédullaire tibial, le patient a obtenu une consolidation solide de la fracture, a retrouvé sa pleine capacité portante et est revenu à son niveau d'activité antérieur dans les six mois.
Lors de l'examen des options de traitement des fractures du tibia, il est important de comparer les avantages et les limites de chaque approche.Bien que la chirurgie du clou intramédullaire tibial offre plusieurs avantages, tels qu'une fixation stable, une mobilisation précoce et une réduction des complications des tissus mous, elle peut ne pas convenir à chaque type de fracture ou à chaque patient.Des méthodes alternatives, telles que le placage ou la fixation externe, peuvent être préférées dans certains cas.Consulter un spécialiste en orthopédie aidera à déterminer l'approche de traitement la plus appropriée en fonction des circonstances individuelles.
En conclusion, la chirurgie du clou centromédullaire tibial est une option de traitement fiable et efficace pour les fractures du tibia.La technique fournit une fixation stable, permet une mobilisation précoce et offre plusieurs avantages par rapport aux méthodes traditionnelles.Bien qu'il existe des risques et des complications potentiels associés à la procédure, une planification préopératoire minutieuse, une technique chirurgicale précise et des soins postopératoires appropriés peuvent minimiser ces préoccupations.
Clou intramédullaire huméral Multi-Lock : Avancées dans le traitement des fractures de l'épaule
Clou élastique en titane : une solution innovante pour la fixation des fractures
Clou intramédullaire fémoral : une solution prometteuse pour les fractures fémorales
Clou intramédullaire fémoral inversé : une approche prometteuse pour les fractures fémorales
Clou intramédullaire tibial : une solution fiable pour les fractures tibiales
Clou intramédullaire humérus : une solution efficace pour traiter les fractures humérales