Nombre Parcourir:0 auteur:Éditeur du site publier Temps: 2023-05-25 origine:Propulsé
Les fractures fémorales, affectant l'os de la cuisse, peuvent entraîner des douleurs importantes, une immobilité et des limitations fonctionnelles.Des options de traitement efficaces sont essentielles pour obtenir de bons résultats chez les patients atteints de ces fractures.Une telle option qui a gagné en popularité ces dernières années est l'utilisation d'un clou intramédullaire fémoral.Cet article explore les avantages, la technique chirurgicale, les risques et la récupération associés à cette approche thérapeutique innovante.
Les fractures du fémur peuvent être débilitantes et nécessiter des soins médicaux immédiats et précis.Les méthodes de traitement traditionnelles, telles que le plâtre ou la fixation externe, peuvent avoir des limites pour obtenir des résultats optimaux.La technique du clou centromédullaire fémoral s'est imposée comme une solution fiable et efficace pour la prise en charge des fractures fémorales.

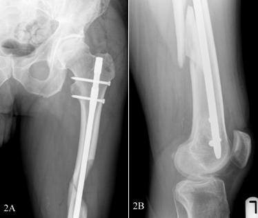
Un clou intramédullaire fémoral est un dispositif médical conçu pour stabiliser et favoriser la cicatrisation des fractures du fémur.Il se compose d'une tige métallique qui est insérée dans le centre creux du fémur, offrant stabilité et soutien pendant le processus de guérison.Le clou est généralement en titane ou en acier inoxydable et est disponible en différentes tailles pour s'adapter aux différentes anatomies des patients.
Les clous intramédullaires fémoraux sont couramment utilisés pour le traitement des fractures de la diaphyse fémorale.Ils sont particulièrement efficaces pour les fractures nécessitant une fixation stable, telles que les fractures déplacées ou comminutives.Cette technique convient également aux cas où une mise en charge immédiate est souhaitée ou en cas de mauvaise qualité osseuse.

Une planification préopératoire minutieuse est essentielle pour une chirurgie fémorale intramédullaire réussie.Cela comprend une évaluation complète du type de fracture, de l'état de santé général du patient et de toute blessure associée.Des techniques d'imagerie, telles que les rayons X, les tomodensitogrammes ou l'IRM, sont utilisées pour évaluer les caractéristiques de la fracture et guider la prise de décision chirurgicale.
Pendant la chirurgie, le patient est généralement placé en décubitus dorsal sur la table d'opération.La jambe affectée est préparée et drapée de manière stérile.Un bon positionnement est crucial pour permettre un accès optimal au site de fracture et faciliter l'insertion du clou.
Une incision est faite sur le site chirurgical pour accéder à l'os fracturé.La longueur et l'emplacement de l'incision dépendent du type de fracture et de son emplacement le long du fémur.Une manipulation soigneuse des tissus mous est essentielle pour minimiser les traumatismes et réduire le risque d'infection.
Après avoir créé un point d'entrée dans le fémur proximal, le chirurgien insère avec précaution le clou intramédullaire fémoral dans le canal médullaire.Un guidage fluoroscopique est utilisé pour assurer un placement et un alignement précis.Le clou est avancé à travers l'os, réalignant tous les fragments déplacés et rétablissant l'alignement anatomique approprié.
Une fois le clou correctement positionné, des vis de verrouillage sont insérées pour fixer le clou dans l'os.Ces vis offrent une stabilité supplémentaire et empêchent les mouvements de rotation ou axiaux des fragments de fracture.Le nombre et le placement des vis dépendent du type de fracture et de la préférence du chirurgien.
Après avoir assuré un alignement et une fixation appropriés, l'incision est fermée à l'aide de sutures ou d'agrafes.La fermeture des plaies est effectuée méticuleusement pour favoriser la cicatrisation et minimiser le risque d'infection.Un pansement stérile est appliqué et le site chirurgical est protégé.

L'utilisation d'un clou intramédullaire fémoral offre plusieurs avantages par rapport aux méthodes de traitement traditionnelles.Certains des principaux avantages incluent :
Fixation stable : L'utilisation d'un clou intramédullaire fémoral permet une fixation stable, permettant un alignement et une union corrects des fragments de fracture.Cette stabilité favorise une meilleure cicatrisation et réduit le risque de désalignement.
Mobilisation précoce : Avec la technique du clou centromédullaire, une mobilisation précoce est possible.Cela signifie que les patients peuvent commencer plus tôt les exercices de mise en charge et de rééducation, ce qui permet une récupération plus rapide et de meilleurs résultats fonctionnels.
Préservation de l'approvisionnement en sang : en utilisant le canal intramédullaire, la technique du clou intramédullaire fémoral minimise la perturbation de l'approvisionnement en sang de l'os.Le maintien d'un flux sanguin adéquat est crucial pour une cicatrisation osseuse et une consolidation optimales des fractures.
Amélioration des résultats esthétiques : par rapport aux méthodes de fixation externe, la chirurgie des clous intramédullaires fémoraux implique des incisions plus petites.Cela se traduit par de meilleurs résultats esthétiques avec une réduction des cicatrices et une amélioration de la satisfaction des patients.
Risque réduit de complications des tissus mous : La technique d'utilisation d'un clou intramédullaire fémoral implique une perturbation minimale des tissus mous.Cela réduit le risque de complications telles que des problèmes de cicatrisation, une infection des tissus mous et une récupération retardée.
Bien que la chirurgie intramédullaire fémorale de l'ongle soit généralement considérée comme sûre et efficace, il existe des complications et des risques potentiels associés à la procédure.Il est important que les patients soient conscients de ces possibilités avant de subir un traitement.Certaines des complications comprennent:
Infection : Comme pour toute intervention chirurgicale, il existe un risque d'infection.Cependant, des techniques stériles appropriées, une prophylaxie antibiotique et des soins postopératoires peuvent réduire considérablement ce risque.
Mauvais alignement ou pseudarthrose : dans certains cas, les fragments de fracture peuvent ne pas cicatriser dans l'alignement souhaité ou ne pas cicatriser complètement.Des facteurs tels qu'une réduction inadéquate, une mauvaise qualité osseuse ou une mise en charge excessive peuvent contribuer à un mauvais alignement ou à une pseudarthrose.Une surveillance étroite et des interventions supplémentaires, telles qu'une chirurgie de révision, peuvent être nécessaires pour résoudre ces problèmes.
Complications liées à l'implant : Bien que rares, des complications liées à l'implant peuvent survenir.Ceux-ci peuvent inclure le descellement, la rupture ou l'irritation de l'implant.Si de telles complications surviennent, une intervention chirurgicale supplémentaire peut être nécessaire.
Lésion nerveuse ou vasculaire : Au cours de l'intervention chirurgicale, il existe un faible risque de lésion nerveuse ou vasculaire.Les chirurgiens prennent des précautions pour minimiser ce risque, mais les patients doivent être conscients de cette possibilité et signaler rapidement tout symptôme persistant ou s'aggravant.
Après une chirurgie fémorale intramédullaire du clou, un programme de rééducation complet est crucial pour une récupération optimale.Le plan de rééducation spécifique peut varier en fonction de la gravité de la fracture, des caractéristiques du patient et des conseils du chirurgien.La physiothérapie, y compris les exercices d'amplitude de mouvement, les exercices de renforcement et l'entraînement à la marche, joue un rôle essentiel dans la restauration de la fonction et la récupération complète.
De nombreux patients ont connu des résultats positifs avec la chirurgie des clous intramédullaires fémoraux.Une étude de cas concernait un individu de 40 ans avec une fracture déplacée de la diaphyse fémorale.Après avoir subi une intervention chirurgicale avec un clou intramédullaire fémoral, le patient a obtenu une consolidation solide de la fracture, a retrouvé sa pleine capacité portante et a repris ses activités normales dans les six mois.
Lors de l'examen des options de traitement des fractures fémorales, il est important de comparer les avantages et les limites de chaque approche.Bien que la technique du clou intramédullaire fémoral offre plusieurs avantages, tels qu'une fixation stable, une mobilisation précoce et des résultats esthétiques améliorés, elle peut ne pas convenir à chaque type de fracture ou à chaque patient.Des méthodes alternatives, telles que la fixation externe ou le placage, peuvent être préférées dans certains cas.Consulter un spécialiste en orthopédie aidera à déterminer l'approche de traitement la plus appropriée en fonction des circonstances individuelles.
En conclusion, la technique du clou intramédullaire fémoral est une option de traitement prometteuse et efficace pour les fractures fémorales.Il fournit une fixation stable, permet une mobilisation précoce et offre plusieurs avantages par rapport aux méthodes traditionnelles.Bien qu'il existe des risques et des complications potentiels associés à la procédure, une planification préopératoire minutieuse, une technique chirurgicale précise et des soins postopératoires appropriés peuvent aider à minimiser ces préoccupations.Les patients qui subissent une chirurgie des clous intramédullaires fémoraux, suivis d'un programme de rééducation bien structuré, ont le potentiel d'une récupération et d'une restauration de la fonction réussies.
Clou intramédullaire huméral Multi-Lock : Avancées dans le traitement des fractures de l'épaule
Clou élastique en titane : une solution innovante pour la fixation des fractures
Clou intramédullaire fémoral : une solution prometteuse pour les fractures fémorales
Clou intramédullaire fémoral inversé : une approche prometteuse pour les fractures fémorales
Clou intramédullaire tibial : une solution fiable pour les fractures tibiales
Clou intramédullaire humérus : une solution efficace pour traiter les fractures humérales