Nombre Parcourir:0 auteur:Éditeur du site publier Temps: 2023-01-02 origine:Propulsé
Les fractures métacarpo-phalangiennes sont une fracture courante dans les traumatismes de la main, représentant environ 1/4 de tous les patients traumatisés de la main.en raison de la structure délicate et complexe de la main et de sa motricité fine, la prise en charge des fractures de la main est bien plus importante et techniquement complexe que le traitement des autres fractures tubulaires longues.
Assurer la stabilité de la fracture après repositionnement est la clé du succès du traitement des fractures métacarpo-phalangiennes.Afin de restaurer la fonction de la main, la fracture nécessite souvent une fixation appropriée, et dans le passé, une fixation externe avec du plâtre ou une fixation interne avec des broches de Kirschner était couramment utilisée, mais souvent en raison d'une fixation inexacte ou d'un long temps de fixation, ce qui n'est pas le cas. favorable à une rééducation articulaire postopératoire précoce, et a un impact plus important sur la récupération fonctionnelle de l'articulation métacarpo-phalangienne, amenant certaines difficultés à la rééducation fonctionnelle de la main.
Les méthodes de traitement modernes utilisent de plus en plus une fixation interne plus solide, telle que la fixation par vis sur microplaque.
Les principes de traitement des fractures métacarpiennes et phalangiennes de la main sont : repositionnement anatomique, fixation légère et ferme, mobilité précoce et exercice fonctionnel.Les principes de traitement des fractures intra-articulaires et périarticulaires de la main sont les mêmes que ceux des autres fractures intra-articulaires : restauration de l'anatomie de la surface articulaire et activité fonctionnelle précoce.Le traitement des fractures métacarpiennes et phalangiennes de la main doit s'efforcer d'obtenir un repositionnement anatomique sans rotation, angulation latérale ou déplacement angulaire > 10° par rapport à la face dorsale de la paume.Si l'extrémité de fracture du métacarpien est tournée ou déplacée latéralement selon un angle, cela modifiera la trajectoire normale du mouvement de flexion et d'extension du doigt, le faisant pousser ou tomber du doigt adjacent pendant la flexion, affectant la précision du fonction doigt;tandis qu'un déplacement angulaire> 10 ° par rapport au dos de la paume détruira la surface de contact lisse de l'os et du tendon, augmentant la résistance et l'amplitude de mouvement du tendon en flexion et en extension, et provoquant des lésions chroniques du tendon, induisant le risque de rupture tendineuse.risque de rupture tendineuse.
Les fractures métacarpiennes et phalangiennes sont similaires dans leur capacité à tolérer la déformation en rotation, tandis que le métacarpien tolère mieux le raccourcissement du déplacement et le déplacement angulaire dorsal que le phalangien.Les articulations carpométacarpienne et métacarpophalangienne peuvent compenser la déformation angulaire du métacarpien, et l'auriculaire annulaire est mieux adapté à la déformation angulaire du métacarpien que l'index majeur.La force de préhension réduite due au raccourcissement intrinsèque des muscles de la main n'est évidente que lorsque le métacarpien est incliné de plus de 30° par rapport à la face dorsale.
L'approche chirurgicale des fractures métacarpiennes est relativement simple et utilise généralement une approche dorsale, comme le montre la figure 4-14.Le deuxième métacarpien est incisé radialement tandis que le cinquième métacarpien est incisé ulnairement, et les troisième et quatrième métacarpiens sont souvent incisés médialement.Si deux métacarpiens adjacents sont opérés en même temps, une incision médiane en forme de S est utilisée pour tenir compte des deux sites chirurgicaux.

Il existe de nombreux matériaux de fixation interne pour les fractures métacarpo-phalangiennes, tels que les broches de Kirschner, les vis, les plaques et les cadres de fixation externe, parmi lesquels les broches de Kirschner et les microplaques sont les plus couramment utilisées.Pour les fractures métacarpiennes, l'ostéosynthèse par microplaque présente des avantages évidents par rapport à l'ostéosynthèse par broches de Kirschner et peut être préférée ;pour les fractures des phalanges proximales, la microplaque est généralement préférée, mais lorsqu'il y a des difficultés à placer des vis dans le segment distal des fractures des phalanges proximales et de la tête, la fixation interne avec des broches de Kirschner croisées est préférée, ce qui est plus propice à la récupération fonctionnelle de l'affecté doigt;pour le traitement des fractures de la phalange moyenne, les broches de Kirschner doivent être préférées.
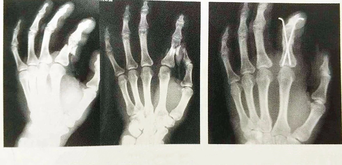
La fixation interne à l'aiguille de Kirschner est appliquée en clinique depuis plus de 70 ans et a été le matériau de fixation interne le plus couramment utilisé pour les fractures métacarpo-phalangiennes, qui est facile à utiliser, économique et pratique, et est la méthode de fixation interne la plus classique, comme indiqué dans la figure 4-15.en tant que fixation interne la plus couramment utilisée pour traiter les fractures de la main, elle est encore largement utilisée.
① facile à utiliser et très flexible d'utilisation ;
② moins de décapage des tissus mous, moins d'impact sur le flux sanguin à l'extrémité de la fracture, moins de traumatisme chirurgical et favorable à la guérison de la fracture ;
③ récupération facile de la broche secondaire ;
④ faible coût et large application, applicable à la plupart des fractures de la main (telles que les fractures intra-articulaires, les fractures comminutives graves et les fractures phalangiennes terminales).
(1) par rapport à la fixation par plaque, la stabilité est médiocre et le raccourcissement et le déplacement en rotation ne peuvent pas être contrôlés par une seule broche, généralement plus de 2 broches sont nécessaires pour la fixation croisée ;
(2) il n'y a pas d'effet de compression sur l'extrémité de la fracture ;
(3) la surface articulaire est endommagée par une fixation transversale ;
(4) la fixation de l'articulation et le blocage du tendon empêchent l'articulation de la main de s'exercer tôt et affectent la récupération fonctionnelle.
Avec le développement rapide des techniques et des équipements modernes de fixation interne, la fixation interne avec des broches de Kirschner est devenue de plus en plus raffinée, et la plupart d'entre elles peuvent être fixées sans traverser l'articulation, avec peu de dommages aux tissus mous et aux tendons autour de l'articulation, et sans affecter l'entraînement postopératoire précoce de la fonction articulaire.Avec l'aide d'un appareil à rayons X à bras en C, certains cas peuvent également obtenir des résultats satisfaisants par une réduction fermée de la fixation interne avec des broches Clinique, réduisant davantage les dommages aux tissus mous locaux et l'impact sur l'apport sanguin à l'extrémité de la fracture, ainsi favoriser la cicatrisation de la fracture.
① Fixez des blocs osseux plus grands avec des broches Kristen de 1,0 à 1,2 mm de diamètre et déterminez le point d'entrée et la direction d'entrée en fonction de la direction de la ligne de fracture ;
② Dans le but de restaurer la ligne de force, les fractures intra-articulaires doivent être repositionnées anatomiquement et solidement fixées ;
③ Tous les blocs osseux n'ont pas besoin d'être fixés avec des broches Kristen, et dans le but d'assurer la stabilité de l'extrémité de la fracture, les broches Kristen doivent être utilisées le moins possible ;
④ Les épingles Kristen ne sont pas fixées à travers le tendon ou la membrane du tendon dorsal du doigt pour créer autant que possible un exercice fonctionnel précoce ;
⑤ il doit y avoir un plan préopératoire strict et ne pas répéter l'opération en peropératoire, sinon le bloc de fracture peut être plus écrasé ou même inréparable ;
⑥ généralement, la broche de Kirschner doit être placée dans la peau pour réduire le risque d'infection et il n'est pas difficile de l'enlever.

Une fixation interne solide des fractures de la main est la base d'un exercice fonctionnel précoce et est nécessaire pour restaurer une bonne fonction de la main. La technique de fixation interne AO nécessite un repositionnement anatomique précis de l'extrémité de la fracture et une stabilisation de l'extrémité de la fracture dans un état fonctionnel, ce qui est communément appelé comme une fixation solide, afin de permettre un mouvement actif précoce.AO met également l'accent sur les opérations chirurgicales peu invasives, qui se concentrent sur la protection du flux sanguin.AO met également l'accent sur les procédures chirurgicales peu invasives qui se concentrent sur la préservation du flux sanguin.L'ostéosynthèse par microplaque de la fracture de la main donne des résultats satisfaisants en termes de résistance, de stabilité de l'extrémité de la fracture et de pression entre les extrémités.En termes de récupération fonctionnelle postopératoire, de temps de cicatrisation des fractures et de taux d'infection comparés, l'efficacité des microplaques en titane est considérée comme significativement meilleure que celle des broches de coupe, et parce que le temps de cicatrisation des fractures après la fixation de la microplaque en titane est significativement plus court que celui des autres fixations modalités, facilitant ainsi le retour rapide à la vie normale du patient.
(1) par rapport aux broches à encoche, les vis pour microplaques ont une meilleure histocompatibilité et une meilleure réponse tissulaire ;
(2) la stabilité du système de fixation du clou de la plaque et la pression sur l'extrémité de la fracture rendent la fracture plus proche du repositionnement anatomique, une fixation plus sûre, ce qui est propice à la guérison de la fracture ;
(3) l'exercice fonctionnel précoce est généralement autorisé après la fixation de la microplaque, ce qui est propice à la récupération de la fonction de la main.

Les microvis pour la fixation des fractures en spirale ou obliques longues ont une stabilité similaire à celle des plaques en acier, mais la zone de dénudage des tissus mous et du périoste est plus petite que celle de la fixation sur plaque en acier, ce qui est propice à la protection du flux sanguin et conforme au concept de mini-invasive opération.Bien qu'il existe des attelles de type T et L pour les fractures articulaires proximales, la visite de retour postopératoire est moins bonne que pour les fractures diaphysaires, et les microvis présentent certains avantages pour la fixation intra- et périarticulaire des fractures.Les vis vissées dans le cortex osseux peuvent supporter une plus grande charge de stress, de sorte que la fixation est ferme et peut exercer une pression entre les extrémités de la fracture pour amener les surfaces de la fracture en contact étroit, ce qui raccourcit le temps de guérison et facilite la guérison de la fracture, comme illustré à la figure 4- 18.les microvis sont principalement utilisées pour les fractures obliques ou hélicoïdales de la diaphyse et les fractures avulsion intra-articulaires des masses osseuses plus importantes.Il est important de noter que la longueur du filetage de fracture doit être au moins deux fois le diamètre de la diaphyse lors de la fixation de fractures obliques ou en spirale de la tige de la main à l'aide de microvis seules, et au moins trois fois la largeur du diamètre du filetage lors de la fixation intra -blocs de fractures par avulsion articulaire.

Les fractures métacarpo-phalangiennes comminutives sont parfois difficiles à réinitialiser anatomiquement même avec une incision chirurgicale ou ne peuvent pas être solidement fixées en interne car l'échafaudage osseux est détruit.L'attelle de fixation externe permet à la fracture comminutive de récupérer et de conserver sa longueur sous l'effet de la traction, jouant un rôle relativement fixe, comme le montre la figure 4-19.Le placement de l'attelle de fixation externe diffère selon les métacarpiens : les 1er et 2e métacarpiens sont placés sur le côté radial dorsal, les 4e et 5e métacarpiens sont placés sur le côté ulnaire dorsal et le 3e métacarpe est placé sur le côté radial dorsal ou dorsal. côté ulnaire selon la situation, en faisant attention au point d'entrée pour éviter de blesser le tendon.Les fractures fermées peuvent être fermées et repositionnées sous rayons X, et de petites incisions peuvent être faites pour aider au repositionnement si le repositionnement n'est pas idéal.

(1) il est simple à utiliser et peut ajuster divers déplacements de l'extrémité de la fracture ;
(2) il peut réinitialiser et réparer efficacement les fractures intra-articulaires des phalanges métacarpiennes sans endommager la surface articulaire, et peut distraire la surface articulaire pour empêcher la contracture de la capsule articulaire et des ligaments collatéraux latéraux ;
(3) il peut être combiné avec une fixation interne limitée pour les fractures comminutives qui ne peuvent pas être réinitialisées anatomiquement, et l'attelle de fixation externe peut partiellement réinitialiser et maintenir la ligne de force ;
(4) il permet des exercices fonctionnels précoces du doigt affecté dans l'articulation non fixée pour éviter l'articulation
(5) Il peut réparer efficacement la fracture de la main sans affecter le traitement postopératoire de la plaie de la main affectée.
Pour CZMEDITECH, nous avons une gamme de produits très complète d'implants de chirurgie orthopédique et d'instruments correspondants, les produits comprenant implants vertébraux, clous intramédullaires, plaque de traumatologie, plaque de verrouillage, crânio-maxillo-facial, prothèse, outils électroportatifs, fixateurs externes, arthroscopie, soins vétérinaires et leurs ensembles d'instruments de soutien.
En outre, nous nous engageons à développer en permanence de nouveaux produits et à élargir nos gammes de produits, afin de répondre aux besoins chirurgicaux d'un plus grand nombre de médecins et de patients, et de rendre notre société plus compétitive dans l'ensemble de l'industrie mondiale des implants et instruments orthopédiques.
Nous exportons dans le monde entier, vous pouvez donc Contactez-nous à l'adresse e-mail song@orthopedic-china.com pour un devis gratuit, ou envoyez un message sur WhatsApp pour une réponse rapide +86-18112515727.
Si vous voulez en savoir plus, cliquez sur CZMEDITECH pour trouver plus de détails.
Nail tibial distal: une percée dans le traitement des fractures tibiales distales
Fabricants TOP5 au Moyen-Orient: plaques de verrouillage à humérus distal (mai 2025)
Fabricants TOP9 en Amérique: plaques de verrouillage Humerus distal (mai 2025)
Fabricants TOP8 dans l'Océanie: plaques de verrouillage à humérus distal (mai 2025)
Fabricants TOP10 en Asie: Plaques de verrouillage Humerus distal (mai 2025)
Fabricants TOP7 en Afrique: plaques de verrouillage à humérus distal (mai 2025)
TOP6 Fabricants en Europe: plaques de verrouillage à l'humérus distal (mai 2025)
Plaque de verrouillage Olecranon : restauration de la stabilité et de la fonction du coude
Plaque de verrouillage de la clavicule : amélioration de la stabilité et de la guérison
Plaque orthopédique en acier inoxydable : amélioration de la cicatrisation et de la stabilité des os