Nombre Parcourir:0 auteur:Éditeur du site publier Temps: 2023-01-04 origine:Propulsé
Les fractures sont généralement accompagnées de blessures à d'autres parties du corps.Dans tout le processus de traitement, les patients doivent être traités dans leur ensemble.
Sauver des vies
Sauver les membres
Économisez les articulations
Fonction de reconstitution
Réduction ouverte et ostéosynthèse le plus tôt possible (dans les 6h)
48h
3 ~ 7j : Cela augmentera la survenue de SDRA et d'autres complications.
7 ~ 10j : La réaction endocrinienne a diminué [l'enflure s'est atténuée, l'inflammation a disparu]
Plus de 2 semaines : la difficulté de l'opération augmente et la fonction postopératoire diminue.
Lorsque le bloc fracturaire blesse l'artère sous-clavière, la veine et le plexus brachial, il est convenu qu'il s'agit d'une complication grave et qu'il doit être opéré immédiatement.
Lorsque le retour élastique se produit après réduction manuelle du tendon du biceps longus, lorsque les symptômes du nerf axillaire apparaissent.

Une fois que les symptômes de la lésion du nerf radial sont trouvés à l'examen physique, l'opération sera effectuée immédiatement.

Ce type de fracture peut causer des lésions nerveuses ou vasculaires qui traversent l'articulation du coude.
La lacération des vaisseaux sanguins est rare, mais il peut y avoir tension ou compression.
Syndrome de l'espace fascial - incision et décompression immédiates.
Effectuez l'opération en une semaine.
1 ~ 2 semaines d'opération temps tabou-myosite ossifiante.
Chirurgie dans 2 semaines.
Ou une fracture ouverte doit être opérée dans les 6 à 8 heures suivant la blessure.
Une opération retardée peut augmenter le risque de formation d'un pont osseux entre le cubitus et le radius.

Lorsque l'examen physique a révélé que la lésion du tendon de l'extenseur du pouce long et les symptômes de compression du nerf médian sont apparus, une intervention chirurgicale immédiate.

La réduction précoce et la fixation interne sont privilégiées pour les fractures ouvertes et fermées, en particulier pour celles compliquées de lésions vasculaires, nerveuses ou tendineuses, la chirurgie doit être effectuée immédiatement.
Les fractures pelviennes sont souvent associées à des fractures dans d'autres parties, ce qui entraînera une instabilité hémodynamique.
Mode de traitement de la fracture pelvienne complexe : 30min, 3 décisions
Exploration chirurgicale immédiate pour arrêter le saignement
La fixation pelvienne (pinces en forme de C ou fixateur externe) est terminée en 10 à 15 minutes.
Après avoir observé pendant 10 à 15 minutes, le patient présente toujours une instabilité hémodynamique.
Pour les patients dont l'hémodynamique est stable, l'opération doit être effectuée dans les 7 jours ou 7 à 14 jours.


Une fois l'état général du patient sous contrôle, une ostéosynthèse, DHS, DCS et PFN, doit être réalisée.

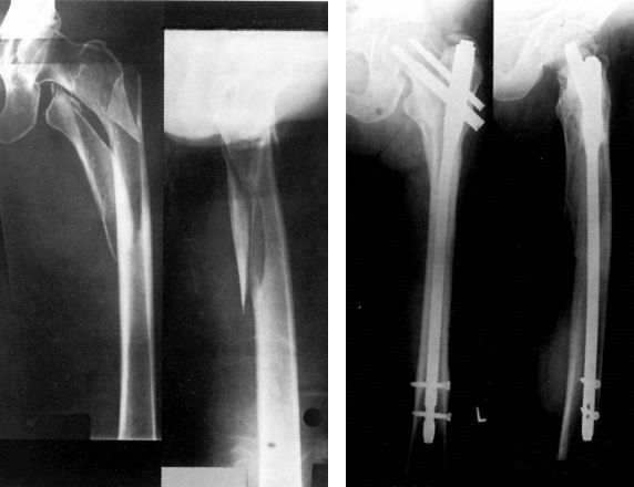
Une fracture du col fémoral, en particulier une fracture intracapsulaire, peut mettre en danger l'approvisionnement en sang de la tête fémorale, il est donc nécessaire d'ouvrir la réduction et la fixation interne dès que possible.
Fixation interne : < 65 ans
Arthroplastie : > 65 ans
Si la chirurgie d'urgence n'est pas possible, une ponction articulaire et une aspiration d'hématome intra-articulaire peuvent être réalisées, et l'articulation de la hanche peut être maintenue en position de semi-flexion et de rotation externe.
Patients présentant de graves lésions des tissus mous, des fractures ouvertes ou des difficultés lors d'une opération précoce - Fixateur externe super-articulaire.
Traitement chirurgical immédiat d'une lésion isolée - DCS, clou centromédullaire rétrograde.

L'état général du patient est stable et les conditions cutanées locales le permettent, l'opération doit être effectuée immédiatement.
Déterminer la nature de la violence liée aux blessures
Les blessures à haute énergie sont souvent accompagnées de lésions graves des tissus mous.Elle se caractérise par un gonflement des membres, des cloques, une abrasion cutanée et une lacération cutanée.L'opération doit être reportée pour le moment.Dans le même temps, le syndrome de l'espace fascial et les lésions vasculaires et nerveuses doivent être exclus.

La particularité de l'anatomie - l'importance de la couverture des tissus mous.
Stade précoce : dans les 8h
Le fixateur externe est considéré comme le premier choix pour un traitement précoce.
Support de gypse
Traction calcanéenne
Phase II : environ 2 semaines.
Il n'y avait pas d'infection systémique évidente ni de traumatisme aigu.
Pas de gonflement ni d'exsudation de la plaie.
L'ampoule est sèche, le gonflement diminue et les marqueurs osseux peuvent être touchés.
Peau ridée, des lignes de peau apparaissent.


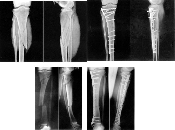
Le résultat du traitement de la fracture de Pilon dépend de la qualité de la reconstruction articulaire et de l'état de la couverture des tissus mous.
Le meilleur moment pour la chirurgie dépend de l'état des tissus mous :
Stade précoce : l'opération a été réalisée en 6 ~ 8h, qui a duré 2 ~ 3h.
Délai : 7 ~ 10 jours, le gonflement a disparu et les rides de la peau sont apparues.
Quatre principes traditionnels qui doivent être suivis dans la reconstruction chirurgicale en un temps :
Reconstruction du péroné
Reconstruction de la surface articulaire tibiale
Greffe osseuse
Support de plaque osseuse

La fracture de la cheville est une fracture intra-articulaire.
Le but du traitement est de restaurer la structure anatomique normale des articulations.
Le moment de la chirurgie dépend de l'état des tissus mous.
Le moment idéal pour la chirurgie est avant l'apparition d'œdèmes et de cloques dans la zone de fracture.
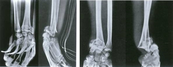
C'est la pierre de marche pour que les gens se lèvent et marchent.La restauration de la structure anatomique normale du pied joue un rôle essentiel dans la position debout et la marche.
Comme pour les fractures de la cheville, le moment de la chirurgie dépend du degré et de l'état du gonflement des tissus mous.
Si tout le corps est stable, la fracture déplacée doit être opérée immédiatement en cas de symptômes neurologiques.


Pour CZMEDITECH, nous avons une gamme de produits très complète d'implants de chirurgie orthopédique et d'instruments correspondants, les produits comprenant implants vertébraux, clous intramédullaires, plaque de traumatologie, plaque de verrouillage, crânio-maxillo-facial, prothèse, outils électroportatifs, fixateurs externes, arthroscopie, soins vétérinaires et leurs ensembles d'instruments de soutien.
En outre, nous nous engageons à développer en permanence de nouveaux produits et à élargir nos gammes de produits, afin de répondre aux besoins chirurgicaux d'un plus grand nombre de médecins et de patients, et de rendre notre société plus compétitive dans l'ensemble de l'industrie mondiale des implants et instruments orthopédiques.
Nous exportons dans le monde entier, vous pouvez donc Contactez-nous à l'adresse e-mail song@orthopedic-china.com pour un devis gratuit, ou envoyez un message sur WhatsApp pour une réponse rapide +86-18112515727.
Si vous voulez en savoir plus, cliquez sur CZMEDITECH pour trouver plus de détails.
Nail tibial distal: une percée dans le traitement des fractures tibiales distales
Fabricants TOP5 au Moyen-Orient: plaques de verrouillage à humérus distal (mai 2025)
Fabricants TOP9 en Amérique: plaques de verrouillage Humerus distal (mai 2025)
Fabricants TOP8 dans l'Océanie: plaques de verrouillage à humérus distal (mai 2025)
Fabricants TOP10 en Asie: Plaques de verrouillage Humerus distal (mai 2025)
Fabricants TOP7 en Afrique: plaques de verrouillage à humérus distal (mai 2025)
TOP6 Fabricants en Europe: plaques de verrouillage à l'humérus distal (mai 2025)
Plaque de verrouillage Olecranon : restauration de la stabilité et de la fonction du coude
Plaque de verrouillage de la clavicule : amélioration de la stabilité et de la guérison
Plaque orthopédique en acier inoxydable : amélioration de la cicatrisation et de la stabilité des os