Nombre Parcourir:0 auteur:Éditeur du site publier Temps: 2022-09-01 origine:Propulsé
La fracture intertrochantérienne du fémur, également appelée fracture intertrochantérienne, est une fracture de la capsule extra-articulaire.Les principales manifestations de la fracture intertrochantérienne sont une douleur et un gonflement locaux importants, des ecchymoses étendues, l'incapacité du patient à se tenir debout ou à marcher, un raccourcissement important, une déformation en rotation interne et externe du membre affecté et une limitation des mouvements actifs et passifs de l'articulation de la hanche. N'importe quelle direction.
1. La plupart d'entre eux sont liés à l'ostéoporose, le plus souvent chez les personnes âgées, plus de femmes que d'hommes.
2. L'incidence est liée à la race, au sexe et à la région.
3. blessure courante chez les personnes âgées, l'âge moyen de la fracture intertrochantérienne du fémur est de 75,2 ans.Il n'y avait pas de différence significative dans l'âge de la fracture intertrochantérienne entre les hommes et les femmes.
4. En raison du flux sanguin riche dans le trochanter, la fracture ne guérit rarement, mais il est facile de se produire une inversion de la hanche, et il y a plus de complications causées par l'alitement à long terme chez les patients âgés, et le taux de morbidité et de mortalité est de 15% à 20%, on l'appelle donc la dernière fracture chez les personnes âgées.
1. Les jeunes adultes sont pour la plupart des blessures à haute énergie, doivent prêter attention au cerveau, à la poitrine, à l'abdomen et aux autres parties de la blessure;les personnes âgées sont pour la plupart vieillissantes fonction du déclin de l'agilité de la réponse de coordination des membres et de la chute causée par.
2. Violence directe : impact direct sur la région du grand trochanter.Si le corps tombe au sol avec une force latérale lors de la chute.
3. Violence indirecte : le corps est tordu lors de la chute, et la hanche est soumise à la contrainte de l'inversion et de l'angle vers l'avant en même temps.
4. Fracture pathologique, l'une des tumeurs osseuses courantes.
5. La fracture intertrochantérienne est principalement formée par violence indirecte.
1. La présentation de base est la même que celle de la fracture du col du fémur, avec douleur locale, tuméfaction et limitation fonctionnelle du membre atteint.
2. Parce qu'il s'agit d'une fracture de la capsule extra-articulaire, il n'y a pas de restriction de la capsule articulaire, de sorte que la déformation de la rotation externe raccourcie (90 degrés) du membre inférieur est plus grave.
3. Douleur de percussion axiale.
4. L'hématome local est relativement grave et il peut y avoir des ecchymoses sous-cutanées plus étendues.
5. Chez les patients âgés, ils ont tendance à être plus âgés que les patients du col fémoral, et une proportion importante de patients ont déjà subi un AVC.
Antécédents de traumatisme évident, douleur dans le membre affecté et limitation des mouvements.Le raccourcissement et la déformation en rotation externe du membre inférieur sont évidents jusqu'à 90°.Un examen radiographique est souvent nécessaire pour établir le diagnostic et le typage est basé sur les radiographies.Les symptômes de la fracture intertrochantérienne sont similaires à ceux de la fracture du col du fémur, mais cette dernière est moins grave que la première en termes de douleur locale, d'enflure, de perte de fonction et de raccourcissement du membre affecté, et le membre affecté a principalement une hanche légère. flexion et flexion du genou et déformation en rotation externe, généralement entre 45° et 60°.
Les fractures AO et Evans-Jensen sont les deux types de fractures les plus couramment utilisés, et de ces deux, le type de fracture AO est le plus courant.

Type I : Fracture intertrochantérienne simple avec un trait de fracture en pente du supérieur vers l'inférieur, sans déplacement ni stabilité.
Type II : Déplacement associé à une petite fracture par avulsion du rotor, mais l'éperon fémoral est intact (l'éperon fémoral est une plaque osseuse dense située profondément à l'intérieur du col fémoral et de la jonction corps du petit rotor.
Type III : Fracture combinée du grand trochanter avec accumulation de fracture de l'éperon fémoral, avec déplacement, souvent avec fracture interrotor postérieure.
Type IV : Fracture en 3 parties associée à une fracture comminutive du petit trochanter, pouvant se présenter avec une fracture éclatée du col fémoral et de la face coronale du grand trochanter.
Tapez V : fracture postérieure latérale et médiale sans appui (combinaison des types III et IV).
Tapez R : une fracture intertrochantérienne antérieure avec une ligne de fracture oblique du médial supérieur au latéral inférieur, qui peut être associée à une petite fracture du rotor et à une destruction de la colonne fémorale.


A1.1 La ligne de fracture passe par la ligne inter-rotor
A1.2 Fracture passant par le grand trochanter
A1.3 Fracture passant sous le petit trochanter
A2.1 Fracture avec 1 fragment d'os broyé
A2.2 Fracture avec plusieurs fragments d'os broyés
A2.3 Fracture s'étendant à plus de 1 cm sous le petit trochanter
A3.1 Forme oblique simple
A3.2 Forme transversale simple
A3.3 Broyé
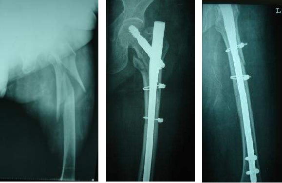
La stabilité de l'ostéosynthèse des fractures dépend généralement de cinq facteurs : la qualité de l'os, le type de fracture, la réduction, le choix de l'ostéosynthèse et la position de l'ostéosynthèse par rapport à l'os.Le repositionnement de la fracture est important pour la stabilité après fixation interne et doit viser à obtenir soit un repositionnement anatomique, soit un repositionnement non anatomique stable.En résumé, le but du repositionnement est d'obtenir la stabilité de la fracture.La méthode de repositionnement peut être fermée ou incisionnelle.Quelle que soit la complexité du type de fracture, la réduction fermée doit être tentée en premier.

La vis a un fort effet de fixation au sein de la tête fémorale, même en cas d'ostéoporose.
Le mécanisme de glissement dans le manchon empêche la pénétration de l'extrémité du clou dans la tête fémorale ou l'acétabulum et la transmission directe de la gravité négative à l'os.
Le mécanisme de glissement motorisé maintient la fracture en place et réduit la pseudarthrose.
Il a une double fonction de compression et de glisse, avec un effet de compression dynamique et statique.
DCS et plaques de coupe à 95 degrés pour les fractures anticrotales :

Il peut sélectionner correctement le point d'entrée de la vis en fonction de la situation spécifique de la fracture, et l'opération est pratique.
La vis de tension de compression de puissance est à angle droit avec la plaque, ce qui répond aux exigences biomécaniques de la hanche.Lors de la mise en charge, la force négative est d'abord appliquée sur le bras court de la plaque puis dispersée sur chaque vis, de sorte que la contrainte est dispersée et la fixation est exceptionnellement ferme.
Le nombre légèrement supérieur de vis DCS au niveau de la fracture augmente la fermeté et la zone de fracture peut être pontée et fixée, réduisant ainsi l'incidence des complications postopératoires.

Un clou de plus petit diamètre (généralement 9 mm) peut être enfoncé sans dilatation.(au-dessus de l'extrémité caudale la plus épaisse du clou Gamma - 17 mm)
L'extrémité proximale du PFN a une cambrure approximative de 6 degrés, réduisant l'angle de valgus et éliminant le besoin d'une forte rétraction interne pendant la traction.
L'extrémité supérieure permet la mise en place de deux vis dans la tête fémorale, avec l'ajout d'une vis anti-rotation et d'un double appui de clou dans le col fémoral, ce qui augmente la résistance à la fatigue.
La distance entre le trou de verrouillage distal et l'extrémité distale du clou principal (extension conique) est plus longue, ce qui peut réduire la concentration de contraintes dans la tige fémorale.
Relativement moins de traumatismes.

Il s'agit d'une méthode de fixation intramédullaire mini-invasive avec une petite incision et un traumatisme minimal.
Le clou Gamma unit fermement le fémur supérieur et le col fémoral grâce à la combinaison du clou intramédullaire et de la vis de tension, et le clou intramédullaire est fixé par le clou autobloquant distal, qui empêche la rotation et le raccourcissement du déplacement et assure une fixation fiable.

Un appareil intégré idéal pour les fractures intertrochantériennes instables du fémur.
Il fixe fermement la tête et le col fémoral et empêche la rotation de l'extrémité de la fracture.
Empêche les complications telles que l'effondrement dû à la résorption osseuse après la perte du support médial, la déformation en inversion et la découpe de la tête fémorale avec l'insert.
Convient à presque toutes les fractures intertrochantériennes, en particulier pour les fractures instables (par exemple les fractures intertrochantériennes antérieures) et l'ostéoporose combinée.
Il existe encore une certaine incidence de complications, telles que l'avulsion de la tête fémorale, qui rend impossible le remplacement d'autres fixations internes.

Âge supérieur à 80 ans.
Fracture intertrochantérienne comminutive et instable.
L'ostéoporose osseuse est évidente et la fixation interne est difficile à fixer efficacement.
Aucune limitation significative des mouvements de la hanche ou du genou avant la blessure.
L'état du corps entier peut tolérer le traitement chirurgical.
Les patients qui ne peuvent pas être traités au lit pendant une longue période.
Avantages : positionnement post-opératoire précoce au sol.Évitez les complications alitées.Prolonger le temps de survie et améliorer la qualité de vie.
Pour CZMEDITECH, nous avons une gamme de produits très complète d'implants de chirurgie orthopédique et d'instruments correspondants, les produits comprenant implants vertébraux, clous intramédullaires, plaque de traumatologie, plaque de verrouillage, crânio-maxillo-facial, prothèse, outils électroportatifs, fixateurs externes, arthroscopie, soins vétérinaires et leurs ensembles d'instruments de soutien.
En outre, nous nous engageons à développer en permanence de nouveaux produits et à élargir nos gammes de produits, afin de répondre aux besoins chirurgicaux d'un plus grand nombre de médecins et de patients, et de rendre notre société plus compétitive dans l'ensemble de l'industrie mondiale des implants et instruments orthopédiques.
Nous exportons dans le monde entier, vous pouvez donc Contactez-nous à l'adresse e-mail song@orthopedic-china.com pour un devis gratuit, ou envoyez un message sur WhatsApp pour une réponse rapide +86-18112515727.
Si vous voulez en savoir plus, cliquez sur CZMEDITECH pour trouver plus de détails.
Nail tibial distal: une percée dans le traitement des fractures tibiales distales
Fabricants TOP5 au Moyen-Orient: plaques de verrouillage à humérus distal (mai 2025)
Fabricants TOP9 en Amérique: plaques de verrouillage Humerus distal (mai 2025)
Fabricants TOP8 dans l'Océanie: plaques de verrouillage à humérus distal (mai 2025)
Fabricants TOP10 en Asie: Plaques de verrouillage Humerus distal (mai 2025)
Fabricants TOP7 en Afrique: plaques de verrouillage à humérus distal (mai 2025)
TOP6 Fabricants en Europe: plaques de verrouillage à l'humérus distal (mai 2025)
Plaque de verrouillage Olecranon : restauration de la stabilité et de la fonction du coude
Plaque de verrouillage de la clavicule : amélioration de la stabilité et de la guérison
Plaque orthopédique en acier inoxydable : amélioration de la cicatrisation et de la stabilité des os