Nombre Parcourir:0 auteur:Éditeur du site publier Temps: 2022-08-04 origine:Propulsé
Le ménisque est un fibrocartilage en forme de ménisque de section triangulaire situé entre le condyle tibial et le plateau, qui améliore significativement la consistance articulaire fémoro-tibiale et joue un rôle important dans la dynamique articulaire du genou.
Sur les clichés sagittal et frontal, le ménisque normal est triangulaire en hypointense.Sur l'image sagittale la plus latérale, le ménisque est une structure en 'nœud papillon' constituée d'une section médio-sagittale associée aux cornes antérieure et postérieure (Figure 1).

Figure 1 Aspect IRM normal du ménisque médial.Coupe sagittale pondérée en densité de protons : Les angles méniscaux antérieur et postérieur sont des triangles hypointenses homogènes.Le ménisque est en forme d'arc et se compose de sections de la section médiane qui relient ses cornes antérieures devant lui et ses cornes postérieures derrière lui.
En coupe sagittale, la transition entre les ligaments transverse et antérieur ;
gaine du tendon poplité ;
Le ligament ménisco-fémoral de Humphrey et Wrisberg relie la corne postérieure du ménisque latéral au condyle fémoral médial ;
Le ligament oblique du ménisque, qui relie parfois la corne antérieure du ménisque à la corne postérieure du ménisque opposé, peut imiter un ménisque migrant ou une poignée de tonneau.
Le ménisque discoïde est une malformation congénitale rare du ménisque.Cette dysplasie méniscale touche presque exclusivement le ménisque latéral.Son diagnostic 'académique' en IRM repose sur la visualisation de la continuité des cornes antérieure et postérieure sur des clichés sagittaux en au moins 3 coupes consécutives de 5 mm d'épaisseur (Fig. 2).Ces résultats sont ajustés en fonction des paramètres partiels utilisés.


Figure 2 Ménisque latéral discoïde.Image sagittale pondérée en T1.Continuité des angles avant et arrière sur 3 profilés fixes consécutifs de 5 mm.Notez la dégénérescence myxoïde de la corne antérieure de ce ménisque discoïde.
Il est de pratique courante de distinguer essentiellement le ménisque traumatique et le ménisque dégénératif.Les lésions traumatiques résultent de l'application d'une force mécanique excessive sur un ménisque sain.Chez l'adulte jeune, la fissure est généralement causée par une lésion indirecte en valgus, une élévation brutale du tibia après rotation externe ou une hyperflexion du genou à 20° de flexion.Au lieu de cela, la dégénérescence se produit à la suite de forces mécaniques normales agissant sur le ménisque endommagé par la dégénérescence myxoïde interstitielle.Les fissures méniscales horizontales peuvent se développer spontanément ou être causées par des blessures mineures.
Selon la direction du plan de clivage, les fissures peuvent être divisées en fissures horizontales, fissures verticales ou fissures complexes
Il existe un plan de séparation parallèle au plateau tibial qui divise le ménisque en segments supérieur et inférieur.Ces lésions horizontales sont répandues, peuvent affecter de manière significative le ménisque médial ou latéral et sont considérées comme stables, bien que des débris qui migrent dans la rainure après une lésion du ménisque médial aient été décrits.
Perpendiculaire au plan tibial et le long de la circonférence du ménisque.Ceux-ci affectent plus fréquemment le ménisque médial.Une blessure complète est considérée comme instable et divise le ménisque en segments médial et latéral.Le niveau de numérisation comprend également le corps du ménisque latéral et la corne postérieure du ménisque, ce qui est facile à mal diagnostiquer comme une déchirure de la poignée du barillet, ce qui est plus susceptible de se produire lorsque l'articulation du genou est tournée vers l'extérieur.Combiné avec des images sagittales, une déchirure en anse de tonneau peut être exclue (Figure 3).

A. IRM coronale, la flèche pointe vers la corne postérieure du ménisque latéral, qui peut facilement être confondue avec une fissure en anse de barillet ;B. Lors de l'exécution d'un balayage IRM selon la position indiquée par la ligne pointillée sur la figure, une pseudo déchirure de la poignée du barillet apparaîtra.
Les fissures radiales sont perpendiculaires au périmètre du ménisque et affectent généralement le bord libre du ménisque.
Est un dommage vertical mixte composé d'une composante longitudinale et d'une composante radiale s'étendant cycliquement au bord libre.
Enfin, il existe des lésions méniscales complexes, sans description claire, impliquant de multiples fissures horizontales et verticales.
Stoler et al.suggéré 3 grades de ménisque (Figure 4)
Grade 1 : Ménisque nodulaire en hypersignal retenu à la surface du ménisque ;
Grade 2 : Ménisque linéaire à signal élevé retenu sur la surface du ménisque ;
Grade 3 : L'hypersignal s'étend à une surface articulaire du ménisque.



Figure 4 Échelle de Stoller.a : Grade 1 : Un ou plusieurs sites d'hypersignal nodulaire intermédiaire associés à la surface articulaire du ménisque ;b : Grade 2 : Hypersignal linéaire intermédiaire sur la surface articulaire du ménisque ;c : Grade 3 : Hypersignal intermédiaire linéaire s'étendant jusqu'à une surface articulaire du ménisque.
Bien que la distinction entre les grades 2 et 3 soit modeste, elle distingue l'hypersignal intraméniscal dégénératif (Figure 5) des véritables fissures.Cette distinction entre un ménisque dégénéré et déchiré n'est pas toujours simple, et il existe de nombreuses sources d'erreur dues à l'apparition d'excédents ou de manques.

Figure 5. L'aspect dégénératif du ménisque.Vue sagittale de la densité de protons avec saturation de la graisse.Les zones à signal élevé peuvent être vues sans véritable image linéaire de fracture.
L'IRM a d'excellentes performances, avec une sensibilité et une spécificité entre 90% et 95%.En IRM, une fente méniscale apparaît comme une extension hypointense linéaire intermédiaire à l'une des surfaces articulaires du ménisque (Stoller grade 3), ou une anomalie morphologique pure.
Lorsque la déchirure n'est visible que sur une seule coupe, il y a quelques difficultés, notamment le risque élevé de résultats faussement positifs.Si l'hypersignal à l'intérieur du ménisque linéaire affecte significativement la surface méniscale, c'est-à-dire dans au moins deux sections adjacentes, il est recommandé de le considérer comme pathologique.Ce concept doit être adapté en fonction de la technique d'acquisition d'images utilisée (coupes de 3 à 4 mm ou obtention d'un volume 3D avec des coupes mm isotropes).
Interruption ou amputation du bord libre sur l'image frontale ;
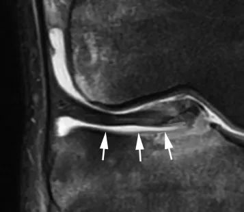
Aspect discontinu ou tronqué du nœud papillon ménisque sur le cliché sagittal (Figure 6) ;

Figure 6. Fissure radiale dans le segment antérieur du ménisque médial en vue sagittale pondérée en densité de protons.Aspect normal du nœud papillon tronqué du ménisque médial (flèche).
Un ménisque manquant ou 'fantôme' avec un espace radial intact.
La rupture du ménisque en anse de seau complique environ 10 % des spondylolisthésis à extension longitudinale.Dans ce cas, la sensibilité de l'IRM est d'environ 70 %, selon les critères diagnostiques utilisés.
La constatation la plus fréquente est la visualisation directe des fragments migrant dans la région intercondylienne : le repère du 'double ligament croisé postérieur (PCL)' est caractéristique lorsque le ménisque médial est lésé et que le ligament croisé antérieur est intact.Le segment disloqué apparaît comme une bande arquée hypointense parallèle au ligament croisé postérieur normal, produisant un aspect de 'double PCL' (Fig. 7).Des cornes de râteau excessives (plus de 6 mm de taille) peuvent également refléter la présence d'une poignée de baril (Figure 8).Dans ce cas, le fragment de ménisque disloqué est attaché à la corne antérieure saine.

Figure 7 L'aspect de la poignée du ménisque médial présente un signe 'double PCL'.Vue sagittale pondérée PD avec suppression de graisse : le fragment de ménisque disloqué (flèche) se trouve sous le PCL normal (flèche) et forme l'aspect caractéristique 'double PCL'.

Figure 8 Aspect de la corne géante avant.Vue sagittale pondérée en densité de protons.La partie antérieure du fragment luxé (flèche) est rattachée à l'angle antérieur du ménisque (flèche).Notez que les coins arrière ne sont pas représentés (*).
D'autres signes IRM ont été validés, tels que l'absence de nœud papillon, le signe du ménisque inversé ou des fragments méniscals déplacés directement dans la région intercondylienne sur les images frontales millimétriques (Fig. 9) ou axiales.

Figure 9 Anse de seau disloquée dans la fente.Vue frontale pondérée PD après suppression de la graisse.Le fragment de ménisque disloqué (flèche) est en contact avec le LCA (flèche).
Un autre signe formel d'instabilité méniscale est l'identification d'un déplacement périphérique de fragments méniscals dans l'évidement méniscal fémoral ou l'évidement fémoro-tibial.Ces déplacements concernent presque exclusivement le ménisque médical et sont une complication de certains cas de fente horizontale dans 10 % des cas.Les coupes coronales et transversales sont le meilleur moyen d'identifier ces fragments.
Le détachement du ménisque survient à la suite d'une blessure grave en valgus et est causé par la rupture de l'appendice capsulaire du ménisque.Ceux-ci ont tendance à affecter la corne postérieure du ménisque médial qui s'attache à la capsule articulaire par un épaississement de la capsule articulaire (le ligament oblique postérieur).
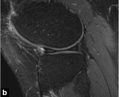
Elles se traduisent par un décalage de 5 mm du ménisque supérieur par rapport au bord postérieur du plateau tibial sur les clichés sagittaux (Fig. 11), ou une insertion liquidienne entre la base du ménisque et le plan de la capsule articulaire.

Figure 11 Décollement de la corne postérieure du ménisque.Vue sagittale de la densité de protons.Le ménisque séparé est déplacé vers l'avant.Il existe une large zone d'hypersignal (*) entre la base du ménisque et la capsule postérieure (flèche).
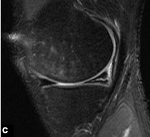
Ceci est le résultat d'une blessure violente et est dû à une rupture du ligament ménisco-tibial et à un décollement de la partie médiale du ménisque.En IRM, le ménisque séparé est complètement entouré de liquide et semble 'flotter' sur le plateau tibial (Figure 12).

Figure 12 Ménisque flottant.Vue frontale de la densité de protons avec saturation des graisses.Le ménisque séparé est entouré de liquide, notamment entre sa face inférieure et le plateau tibial (flèche).
Les douleurs récurrentes après méniscectomie présentent de nombreuses difficultés diagnostiques : fissures récurrentes, post-méniscectomie, chondrolyse, nécrose sous-chondrale ou arthralgie.L'IRM échoue souvent à détecter les fissures récurrentes car la méniscectomie laisse des hyperintensités intermédiaires qui communiquent 'à tort' avec la surface du ménisque.La seule constatation considérée comme pathologique et interprétée comme une fissure récurrente était l'hyperintensité intraméniscale fluide sur les images pondérées en T2.Ces limites de l'IRM simple seule ont poussé certains auteurs à proposer l'utilisation de l'arthroscopie IRM, même si là encore les résultats sont incohérents.
Pour CZMEDITECH, nous avons une gamme de produits très complète d'implants de chirurgie orthopédique et d'instruments correspondants, les produits comprenant implants vertébraux, clous intramédullaires, plaque de traumatologie, plaque de verrouillage, crânio-maxillo-facial, prothèse, outils électroportatifs, fixateurs externes, arthroscopie, soins vétérinaires et leurs ensembles d'instruments de soutien.
En outre, nous nous engageons à développer en permanence de nouveaux produits et à élargir nos gammes de produits, afin de répondre aux besoins chirurgicaux d'un plus grand nombre de médecins et de patients, et de rendre notre société plus compétitive dans l'ensemble de l'industrie mondiale des implants et instruments orthopédiques.
Nous exportons dans le monde entier, vous pouvez donc Contactez-nous à l'adresse e-mail song@orthopedic-china.com pour un devis gratuit, ou envoyez un message sur WhatsApp pour une réponse rapide +86-18112515727.
Si vous voulez en savoir plus, cliquez sur CZMEDITECH pour trouver plus de détails.
Nail tibial distal: une percée dans le traitement des fractures tibiales distales
Fabricants TOP5 au Moyen-Orient: plaques de verrouillage à humérus distal (mai 2025)
Fabricants TOP9 en Amérique: plaques de verrouillage Humerus distal (mai 2025)
Fabricants TOP8 dans l'Océanie: plaques de verrouillage à humérus distal (mai 2025)
Fabricants TOP10 en Asie: Plaques de verrouillage Humerus distal (mai 2025)
Fabricants TOP7 en Afrique: plaques de verrouillage à humérus distal (mai 2025)
TOP6 Fabricants en Europe: plaques de verrouillage à l'humérus distal (mai 2025)
Plaque de verrouillage Olecranon : restauration de la stabilité et de la fonction du coude
Plaque de verrouillage de la clavicule : amélioration de la stabilité et de la guérison
Plaque orthopédique en acier inoxydable : amélioration de la cicatrisation et de la stabilité des os