Nombre Parcourir:0 auteur:Éditeur du site publier Temps: 2022-12-08 origine:Propulsé
La réduction fermée est la technique mini-invasive qui peut être utilisée pour les fractures stables des extrémités sans perte de flux sanguin, sans risque d'infection, récupération fonctionnelle rapide, coûts médicaux considérablement réduits, et peut être utilisée pour la fixation par clou creux à réduction fermée et broche intramédullaire traitement de diverses fractures instables, telles que les fractures du col fémoral, les fractures de la tige fémorale, les fractures tibiofibulaires, les fractures de la tige humérale, etc., en éliminant la destruction du flux sanguin par réduction incisionnelle.
Le patient est alité et la traction de la tubérosité tibiale est réalisée avec le membre atteint en position neutre avec une légère rotation interne.Le poids de la traction varie d'une personne à l'autre, généralement de 6 à 9 kg, et la durée de la traction ne doit pas dépasser 12 heures.90% des patients peuvent réaliser un repositionnement par traction.
Si la traction ne permet pas d'atteindre les exigences de repositionnement, un repositionnement manuel peut être ajouté, sous anesthésie péridurale :
Le but est de fixer le bassin, de faire pivoter extérieurement le membre affecté et d'augmenter la force de traction, puis de faire pivoter et de rétracter intérieurement le membre affecté pour atteindre l'objectif de repositionnement.
Le patient est allongé à plat sur le sol, fléchit la hanche et le genou affectés à 90°, traction le long de l'axe fémoral du membre affecté pendant 2 à 3 minutes, puis effectue une rotation interne du membre affecté et le fléchit légèrement, après la réinitialisation, abaissez doucement le membre affecté, et si le pied affecté ne semble pas être en rotation externe, cela indique principalement une réinitialisation réussie.Avant d'effectuer la fixation interne, la machine à bras en C a été utilisée pour vérifier.
Si le repositionnement n'est pas réalisé par les méthodes ci-dessus, cela indique généralement soit que la tête fémorale a été cassée ou qu'il y a eu une séparation en rotation entre la tête et le cou (Figure 1A), ou qu'il y a une insertion quelque part entre la tête et cou.(Cela peut se produire dans n'importe lequel des types Garden II, III ou IV).Dans ce cas, la rotation du membre affecté pour aligner la fracture de la tête et du cou n'est plus efficace.Afin d'éviter l'incision et le repositionnement, une technique de levier percutané à l'aiguille peut être utilisée pour repositionner la fracture.
Une aiguille circulaire en os de 3,0 à 3,5 mm de diamètre est insérée verticalement à travers la peau 1 à 2 cm sous la jonction du ligament inguinal et de l'artère fémorale à l'avant de la tête fémorale, et l'aiguille est tournée plus profondément vers le centre de la tête fémorale sous la supervision de la machine C-bras (figure 1B).
Pour renforcer la force de levier, une deuxième aiguille circulaire osseuse peut être insérée à 4-5 mm parallèlement à cette aiguille, avec l'extrémité de l'aiguille laissée à l'extérieur de la peau.
A travers le grand trochanter, deux aiguilles circulaires à os de 3,5 mm de diamètre sont forées par voie percutanée selon l'angle de la tige cervicale et l'angle d'inclinaison antérieure, atteignant l'extrémité distale de la fracture du col fémoral (ne pas traverser la fracture) et laissant l'extrémité de l'aiguille à l'extérieur de la peau.
L'opérateur tient les deux ensembles de queues d'aiguille avec les deux mains et ajuste les sections de fracture de la tête et du cou pour s'aligner les unes avec les autres avec la coopération de l'assistant (figure 1C-E).
Une fois l'alignement satisfaisant, une broche ronde osseuse insérée au niveau du grand trochanter est vissée dans la tête fémorale pour une fixation temporaire, et plusieurs vis creuses sont ensuite insérées dans la tête fémorale (figure 1F).
La méthode de réduction fermée décrite ci-dessus peut atteindre la réduction requise dans environ 98 % des fractures du col du fémur.Meilleur est l'alignement de la fracture, qu'elle soit fermée ou incisée, meilleur est le pronostic.Habituellement, le degré de luxation de la fracture montré sur la radiographie est inférieur au degré réel de luxation de la fracture.Étant donné que l'alignement de la fracture affecte directement la cicatrisation de la fracture et la possibilité de nécrose de la tête fémorale, il est nécessaire d'avoir un jugement correct du film radiographique après l'alignement de la fracture.Si la courbe en forme de S n'est pas lisse ou interrompue, cela indique que la fracture du col fémoral n'a pas atteint le repositionnement anatomique (Figure 2).


Figure 1 Fracture du col fémoral repositionnée par levier percutané à l'aiguille

Figure 2 Radiographies de fracture du col du fémur avec courbure externe continue en alignement anatomique et courbure externe interrompue en alignement non anatomique
La technique de réduction fermée peut aider à l'alignement de la fracture de la tige fémorale sans endommager les tissus mous ou l'apport sanguin à l'extrémité de la fracture, et peut être utilisée pour la fixation interne avec un clou intramédullaire.
Sous anesthésie péridurale, le patient est allongé à plat sur le lit (la peau du membre affecté n'a pas encore été stérilisée), un assistant tient le mollet du membre affecté et l'autre assistant tire la racine de la cuisse du patient avec un chiffon ceinture pour contrer la traction, avec le membre affecté dans une position neutre et la rotule du genou vers le haut (la fracture de la tige fémorale n'est généralement pas tournée et déplacée par la traction musculaire, et peut être corrigée automatiquement par traction, de sorte que l'opérateur n'a besoin que pour corriger le déplacement antéro-postérieur et latéral de l'extrémité cassée de la tige).
L'opérateur utilise les deux bras pour encercler le membre affecté et tient les mains ensemble (Figure 3 et Figure 4), et corrige le déplacement antéro-postérieur et latéral de la fracture à la fois en utilisant la force de serrage oblique des deux avant-bras.
Par exemple, si le segment proximal de la fracture du fémur est déplacé vers l'extérieur et vers l'avant, un avant-bras est utilisé pour comprimer le segment proximal de la fracture vers l'intérieur et vers le bas.L'autre avant-bras comprime le segment distal de la fracture vers l'extérieur et vers le haut pour emprunter la force de serrage (le médecin réinitialisateur doit avoir une bonne appréciation de la direction de déplacement de la fracture et de la distance de déplacement avant la réinitialisation), de sorte que la fracture puisse être réinitialisée avec succès en une seule fois.Pendant le processus de repositionnement, l'assistant doit augmenter la force de traction et empêcher le fémur de tourner.
Lorsque l'extrémité de la fracture est essentiellement rodée, un léger bruit de frottement osseux doit être entendu, à ce moment, l'assistant doit toujours maintenir la traction, mais réduire la force de traction.
Lorsque la fracture est essentiellement alignée par la machine à bras en C (s'il y a encore un petit désalignement, faites quelques ajustements pour vous assurer que les extrémités de la fracture correspondent), maintenez la traction, désinfectez le membre affecté et étendez la serviette, puis effectuer une fixation par clou intramédullaire.

Fig. 3 Le déplacement antéro-postérieur et latéral de la fracture est corrigé en même temps en enroulant les deux bras autour du membre atteint et en serrant les mains ensemble, en utilisant la force de serrage des deux avant-bras.

Figure 4 Schéma mécanique du repositionnement d'une fracture de la tige fémorale
Pour les patients présentant un grand déplacement de fracture, une manipulation fermée infructueuse ou des fractures comminutives, un lit de traction chirurgical peut être utilisé pour une réduction fermée avec une certaine force instrumentale, ce qui peut également compléter efficacement la réduction fermée de la fracture de la tige fémorale.
Après avoir placé le membre affecté sur le cadre de traction pour la traction et l'examen du bras C montre que le déplacement de la fracture qui se chevauche a été corrigé, l'extrémité distale du membre affecté peut être ajustée vers l'intérieur pour restaurer davantage l'alignement et l'alignement dans l'image orthostatique de la tige fémorale.
Parce que la tension des muscles de la cuisse sous traction peut jouer un rôle d'attelle des tissus mous sur la fracture de la tige fémorale, la plupart des fractures de la tige fémorale peuvent obtenir un alignement plus satisfaisant sur l'image radiographique orthogonale.
Cependant, à ce moment, en raison du manque de soutien efficace à l'extrémité distale du segment de fracture sous l'effet de la gravité, le segment de fracture distal de la tige fémorale est principalement déplacé vers l'arrière, et à ce moment, la serviette stérile recouverte d'une l'attelle peut être placée sur le côté postérieur de l'extrémité distale de la fracture après la stérilisation et la préparation de la peau et la pose de draps stériles, et le déplacement postérieur de l'extrémité distale de la fracture peut être corrigé en ajustant la hauteur de l'attelle.
Si le déplacement postérieur du segment distal de la fracture n'est toujours pas corrigé, un clou proximal peut être mis en place par voie percutanée à l'apex du grand trochanter ou de la fosse piriforme, puis la tige de repositionnement intramédullaire est insérée dans la cavité médullaire du segment proximal de la fracture. du fémur, et la poignée de la tige de repositionnement intramédullaire est soulevée modérément vers l'avant pour abaisser la fracture proximale du fémur vers l'arrière en utilisant le levier de la tige de repositionnement, rétablissant ainsi l'alignement avec la fracture distale déplacée vers l'arrière,
Une fois la fracture alignée, une longue broche de guidage est insérée dans la cavité distale de la fracture pour terminer la réinitialisation fermée.La tige de repositionnement intramédullaire est particulièrement efficace pour corriger les déformations de flexion, d'abduction et de rotation externe courantes dans les fractures proximales du fémur proximal (Figure 5).
Pour le déplacement latéral résiduel, l'ouverture de l'extrémité incurvée de la tige intramédullaire peut être ajustée pour guider la longue broche de guidage dans la cavité distale de la fracture afin de compléter la réduction fermée.
Une autre méthode de réduction fermée consiste à visser un clou de Schanz dans le cortex osseux du côté de l'extrémité de fracture déplacée et à ajuster l'extrémité de fracture au moyen du clou de Schanz pour une réduction fermée (Figure 6).Une fois la fracture alignée de manière satisfaisante, le clou intramédullaire est inséré dans la cavité médullaire proximale et distale de la fracture pour terminer la fixation interne (Figure 7).

Figure 5 Manipulation du segment de fracture proximal pour un repositionnement fermé à l'aide de la tige de repositionnement intramédullaire

Figure 6 Réduction fermée à l'aide d'un clou de Schanz placé dans la corticale osseuse unilatérale à l'extrémité de la fracture

Figure 7 Fixation par clou centromédullaire à réduction fermée d'une fracture comminutive multisegmentaire de la tige fémorale à l'aide du clou de Schanz
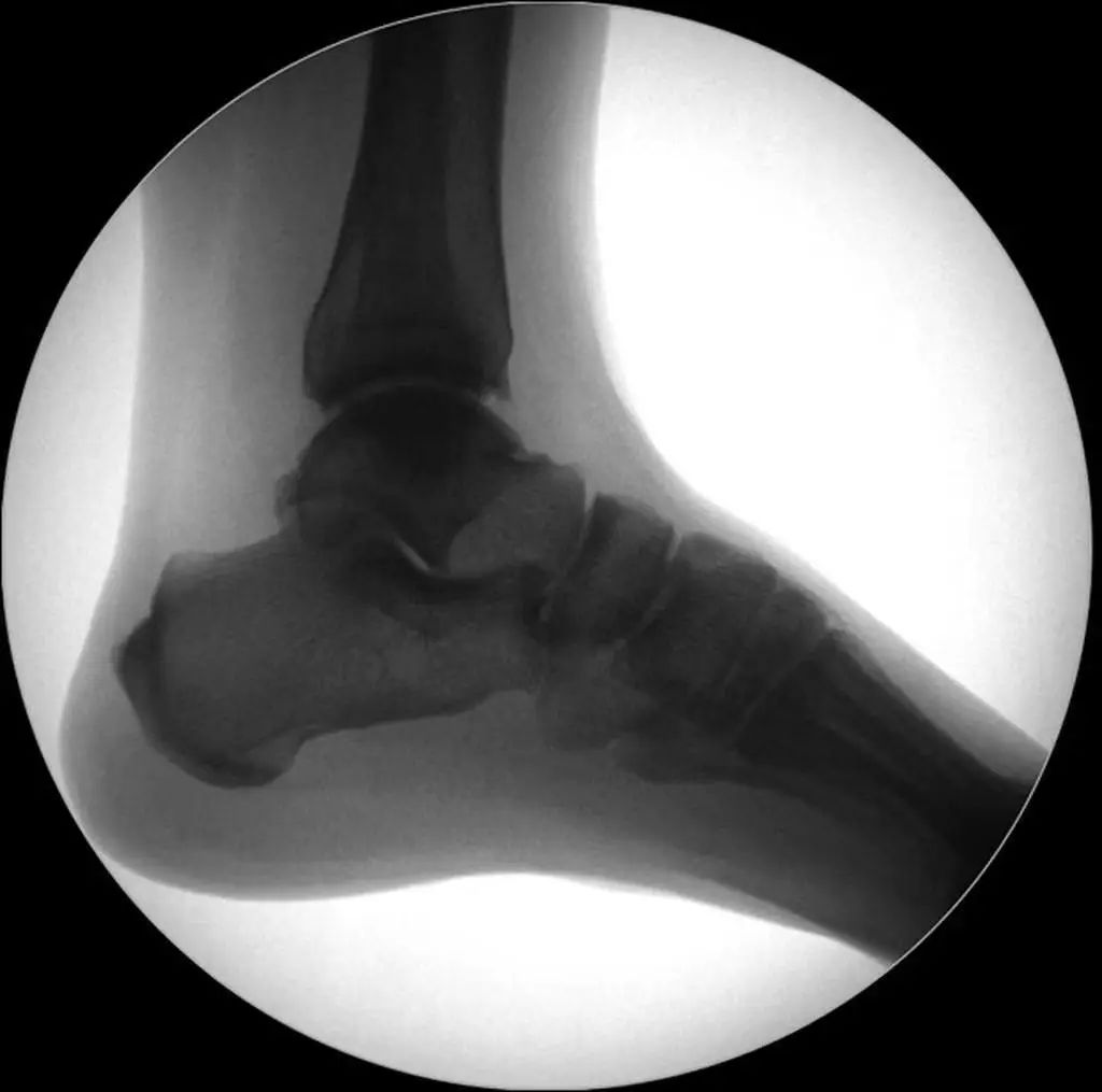
Diagnostic radiographique : L'évaluation standard de l'imagerie de la cheville doit comprendre 3 phases : antéropostérieure (Figure 8), point de cheville (15 ° de rotation interne) (Figure 9) et latérale (Figure 10).
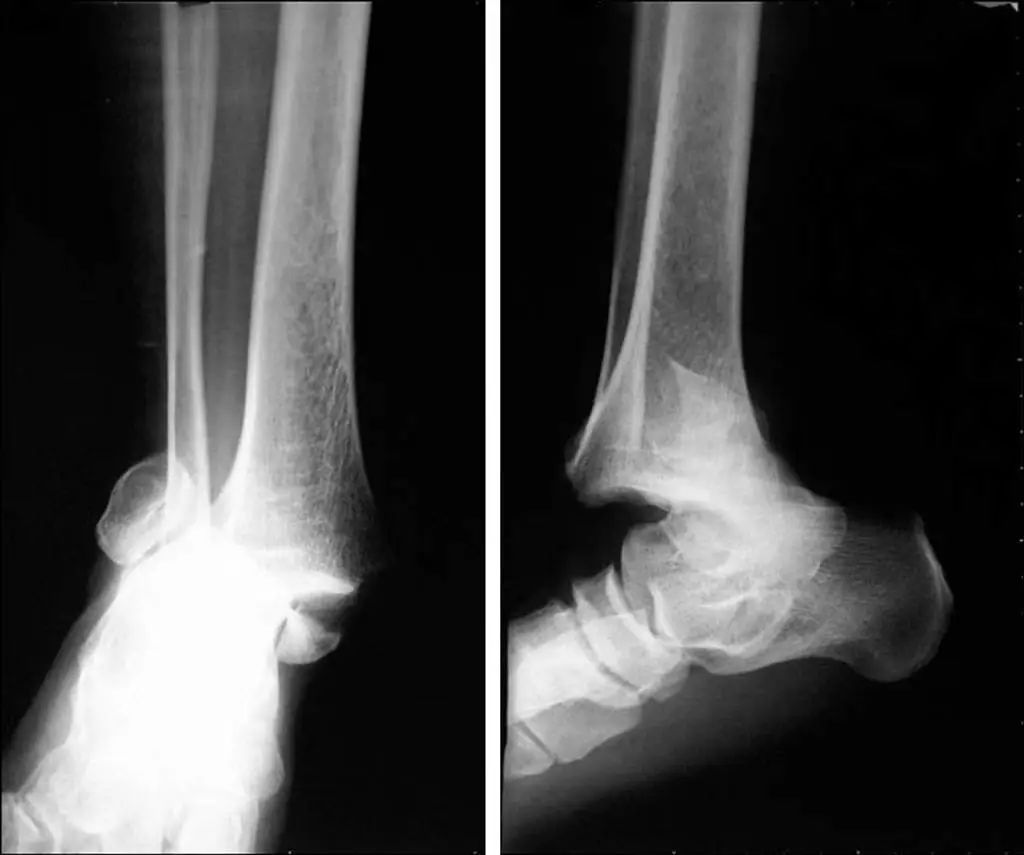
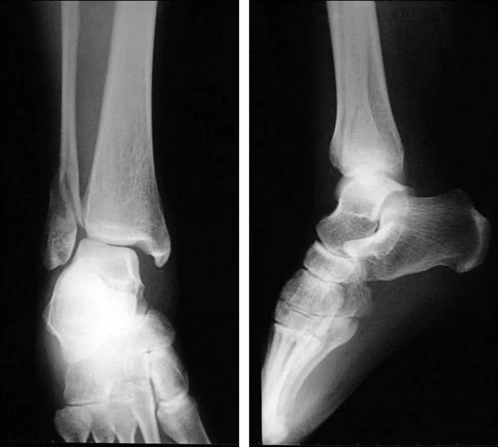
Lorsque l'articulation de la cheville est gravement blessée, la cheville interne et externe et le talus seront déplacés à 11 degrés différents (Figure 11).Les radiographies statiques ne reflètent pas avec précision la stabilité de l'articulation de la cheville.Les radiographies de stress et l'IRM peuvent améliorer l'évaluation de la stabilité de l'articulation de la cheville et des lésions ligamentaires (Figure 12).
Dans ce cas, le type de blessure à la cheville doit être déterminé avec précision par le mécanisme de la blessure et les données radiologiques du membre affecté afin de guider correctement le repositionnement et la fixation.
Parfois, une simple fracture médiale de la cheville peut faire partie d'une 'fracture de Maisonneuve' plus complexe, qui comprend également une fracture du péroné proximal et une lésion ligamentaire combinée, de sorte que l'ensemble du tibiofibula doit être examiné par radiographie.

Figure 8 Position avant et arrière

Figure 9 Points de cheville (15° de rotation interne)

Figure 10 Position latérale

Figure 11 Déplacement de la fracture apparemment combiné à une luxation

Figure 12 Radiographie de stress (rupture du ligament triangulaire)
Une anesthésie des nerfs fémoral et sciatique est généralement pratiquée.
Le type de rotation postéro-externe du repositionnement fermé est réalisé dans l'ordre cheville externe-cheville interne-cheville postérieure-union tibio-fibulaire inférieure.Le type rotation postérieure-rotation interne s'effectue dans l'ordre cheville interne-cheville externe.
Dans le cas d'une rotation postéro-externe de type IV, le patient est placé en décubitus dorsal et le genou est fléchi à 90° pour détendre le triceps du mollet.
Deux assistants maintiennent respectivement la partie poplitée de la cuisse et du pied et une traction est appliquée dans le sens de la déformation de la fracture (la force de traction ne doit pas être excessive pour ne pas aggraver la blessure).
L'assistant tirant le pied tourne le pied vers l'intérieur pour corriger la déformation de rotation externe (Figure 13).Tout en poussant l'extrémité distale vers le côté tibial et en tirant le tibia distal vers le côté fibulaire, l'assistant tourne vers l'intérieur et étend dorsalement l'articulation de la cheville pour corriger le déplacement de la cheville externe et du talus (Figure 14).
Maintenir la position rotation interne-rotation interne-extension dorsale.Ensuite, le bloc de fracture de la cheville postérieure est tenu par les deux pouces, les quatre doigts encerclent le tibia distal et les deux pouces poussent et serrent distalement, tout en tirant vers le bas le tibia distal pour réinitialiser la cheville postérieure (Figure 15).
Enfin, l'opérateur pousse la cheville médiale vers l'arrière et vers le bas avec les pouces pour la réinitialiser (Figure 16).Deux assistants maintiennent le pied et la cheville dans la position de rotation interne-rotation interne-extension dorsale en vue de la fixation.

Figure 13 Correction en traction de la déformation en rotation externe

Figure 14 Correction du déplacement latéral de la cheville externe et du talus

Figure 15 Correction du déplacement postérieur de la cheville

Figure 16 Correction du déplacement interne de la cheville
Le processus de repositionnement post-rotation-interne est l'opposé du processus de repositionnement post-rotation-externe et s'effectue dans l'ordre cheville interne-cheville externe.
Pour CZMEDITECH, nous avons une gamme de produits très complète d'implants de chirurgie orthopédique et d'instruments correspondants, les produits comprenant implants vertébraux, clous intramédullaires, plaque de traumatologie, plaque de verrouillage, crânio-maxillo-facial, prothèse, outils électroportatifs, fixateurs externes, arthroscopie, soins vétérinaires et leurs ensembles d'instruments de soutien.
En outre, nous nous engageons à développer en permanence de nouveaux produits et à élargir nos gammes de produits, afin de répondre aux besoins chirurgicaux d'un plus grand nombre de médecins et de patients, et de rendre notre société plus compétitive dans l'ensemble de l'industrie mondiale des implants et instruments orthopédiques.
Nous exportons dans le monde entier, vous pouvez donc Contactez-nous à l'adresse e-mail song@orthopedic-china.com pour un devis gratuit, ou envoyez un message sur WhatsApp pour une réponse rapide +86-18112515727.
Si vous voulez en savoir plus, cliquez sur CZMEDITECH pour trouver plus de détails.
Nail tibial distal: une percée dans le traitement des fractures tibiales distales
Fabricants TOP5 au Moyen-Orient: plaques de verrouillage à humérus distal (mai 2025)
Fabricants TOP9 en Amérique: plaques de verrouillage Humerus distal (mai 2025)
Fabricants TOP8 dans l'Océanie: plaques de verrouillage à humérus distal (mai 2025)
Fabricants TOP10 en Asie: Plaques de verrouillage Humerus distal (mai 2025)
Fabricants TOP7 en Afrique: plaques de verrouillage à humérus distal (mai 2025)
TOP6 Fabricants en Europe: plaques de verrouillage à l'humérus distal (mai 2025)
Plaque de verrouillage Olecranon : restauration de la stabilité et de la fonction du coude
Plaque de verrouillage de la clavicule : amélioration de la stabilité et de la guérison
Plaque orthopédique en acier inoxydable : amélioration de la cicatrisation et de la stabilité des os