Nombre Parcourir:0 auteur:Éditeur du site publier Temps: 2023-07-15 origine:Propulsé
Les fractures peuvent varier de simples à complexes, et l'approche de traitement appropriée dépend de divers facteurs. Plaque de verrouillage la chirurgie est une technique chirurgicale utilisée pour stabiliser les fractures qui ne peuvent pas être traitées efficacement avec des méthodes non chirurgicales telles que le moulage ou l'attelle.En fournissant une fixation rigide, la chirurgie à plaques verrouillables permet un meilleur alignement osseux et favorise une cicatrisation réussie.
Plaque de verrouillage la chirurgie implique l'utilisation de plaques métalliques avec des trous de vis spéciaux qui verrouillent les vis en place.Ces plaques sont conçues pour fournir une fixation stable et répartir la charge uniformément sur l'os fracturé.Les vis utilisées dans la chirurgie de plaque de verrouillage sont vissées dans la plaque, créant une construction à angle fixe qui peut résister à des forces importantes.

La chirurgie à plaque de verrouillage est souvent recommandée pour les fractures complexes, c'est-à-dire des fractures impliquant plusieurs fragments d'os ou associées à des lésions des tissus mous.Ces fractures sont plus difficiles à traiter avec des méthodes conservatrices et nécessitent la stabilité fournie par les plaques de verrouillage.
Les fractures des os porteurs, tels que le fémur ou le tibia, peuvent nécessiter une chirurgie avec plaque de verrouillage.Ces os sont soumis à des contraintes considérables lors des activités quotidiennes et une intervention chirurgicale avec plaques de verrouillage peut aider à restaurer la force et la stabilité de l'os, permettant une mobilisation précoce.
Les patients atteints d'ostéoporose ou dont la qualité osseuse est compromise peuvent bénéficier de plaque de verrouillage chirurgie.La conception spéciale des plaques de verrouillage offre une meilleure fixation dans les os avec une densité ou une résistance réduite, permettant de meilleurs résultats de guérison.
Lorsqu'une fracture ne guérit pas dans le délai prévu, on parle de pseudarthrose ou de retard de consolidation. Plaque de verrouillage la chirurgie peut être envisagée dans de tels cas pour favoriser la cicatrisation osseuse en assurant la stabilité, en augmentant l'apport sanguin au site de la fracture et en stimulant la production de cellules ostéoformatrices.
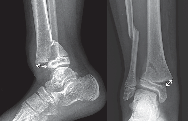
Avant de décider de plaque de verrouillage chirurgie, plusieurs procédures de diagnostic sont généralement effectuées pour évaluer la fracture et déterminer l'approche de traitement la plus appropriée.
Les rayons X sont couramment utilisés pour évaluer les fractures et évaluer le degré de déplacement et d'instabilité.Des études d'imagerie supplémentaires, telles que des tomodensitogrammes ou des IRM, peuvent être recommandées pour obtenir des informations plus détaillées sur le modèle de fracture, l'atteinte des tissus mous et la qualité osseuse.

Un examen physique approfondi est effectué pour évaluer l'amplitude des mouvements, la stabilité et l'état neurovasculaire du membre affecté.Cette évaluation permet de déterminer l'étendue de la blessure et si plaque de verrouillage la chirurgie est nécessaire.
Les antécédents médicaux du patient, y compris les fractures antérieures, les conditions médicales sous-jacentes et les médicaments, sont pris en compte lors de l'évaluation.Certains facteurs, tels que le tabagisme, le diabète ou un mauvais état nutritionnel, peuvent affecter le processus de guérison et influencer la décision de procéder à une intervention chirurgicale.
La chirurgie des plaques verrouillées offre plusieurs avantages dans le traitement des fractures complexes.Ceux-ci comprennent une fixation stable, une mobilisation précoce, un meilleur alignement, une diminution du risque de cal vicieux et de meilleurs résultats de guérison.La construction rigide fournie par plaques de verrouillage permet une mise en charge immédiate et une meilleure récupération fonctionnelle.
Comme pour toute intervention chirurgicale, il existe des risques associés à plaque de verrouillage chirurgie.Ceux-ci peuvent inclure une infection, une perte de sang, une lésion nerveuse ou vasculaire, une défaillance de l'implant, une pseudarthrose et la nécessité de chirurgies supplémentaires.Il est important de discuter de ces risques avec votre fournisseur de soins de santé pour prendre une décision éclairée.
Avant la chirurgie, une évaluation préopératoire complète est effectuée, qui peut inclure des tests sanguins, des études d'imagerie et un examen physique.Cette évaluation aide à déterminer l'aptitude du patient à subir une intervention chirurgicale et permet au chirurgien de planifier l'intervention en conséquence.
Pendant la chirurgie, la fracture est exposée et les fragments d'os sont réalignés dans leur position appropriée.Le plaque de verrouillage est ensuite positionné sur le site de la fracture et des vis sont insérées à travers la plaque et dans l'os pour stabiliser la fracture.Une fois la fracture solidement fixée, l'incision est fermée et le processus de récupération commence.
Suivant plaque de verrouillage chirurgie, le patient est étroitement surveillé pendant la période de récupération initiale.Des exercices de physiothérapie et de rééducation sont initiés pour restaurer la force, la mobilité et la fonction.Le temps de récupération peut varier en fonction de l'étendue de la fracture et de la capacité de guérison de l'individu.
Alors que plaque de verrouillage la chirurgie est une option de traitement très efficace pour certaines fractures, des traitements alternatifs peuvent être envisagés dans certains cas.Ces alternatives peuvent inclure le plâtre, la fixation externe, l'enclouage intramédullaire ou la chirurgie de remplacement articulaire.Le choix du traitement dépend de facteurs tels que le type et l'emplacement de la fracture, l'âge et l'état de santé général du patient, ainsi que l'expertise du chirurgien.
La chirurgie à plaques verrouillées est une technique précieuse utilisée en chirurgie orthopédique pour traiter les fractures complexes et favoriser une cicatrisation osseuse réussie.En fournissant une fixation stable et en permettant une mobilisation précoce, cette procédure peut grandement améliorer les résultats pour les patients.Si vous souffrez d'une fracture grave ou si on vous a conseillé d'envisager plaque de verrouillage chirurgie, consultez un orthopédiste pour discuter de vos options et déterminer le meilleur traitement.
Le temps de récupération après une chirurgie avec plaque de verrouillage varie en fonction de l'individu et de la fracture spécifique.Généralement, cela peut prendre plusieurs semaines à plusieurs mois pour que l'os guérisse complètement et que le patient retrouve sa pleine fonction.Votre chirurgien orthopédiste vous fournira une estimation plus précise en fonction de votre cas spécifique.
Oui, plaque de verrouillage la chirurgie peut être pratiquée sur des patients âgés, à condition qu'ils soient en bon état de santé général et que leur qualité osseuse soit suffisante pour l'intervention.La décision de procéder à la chirurgie sera basée sur une évaluation complète de l'état de santé du patient et de sa situation personnelle.
Le taux de réussite de la chirurgie des plaques verrouillées est généralement élevé, la plupart des patients connaissant une amélioration significative de la guérison de leur fracture et des résultats fonctionnels.Cependant, le taux de réussite peut varier en fonction de facteurs tels que le type et l'emplacement de la fracture, l'état de santé général du patient et le respect des protocoles de soins postopératoires et de réadaptation.
Oui, il existe d'autres options de traitement pour certaines fractures.Ces alternatives comprennent le plâtre, la fixation externe, l'enclouage intramédullaire ou la chirurgie de remplacement articulaire.Le choix du traitement dépend de divers facteurs et doit être discuté avec un spécialiste en orthopédie qui pourra évaluer votre cas spécifique.
La chirurgie de plaque de verrouillage est réalisée sous anesthésie, garantissant que le patient ne ressent pas de douleur pendant la procédure.Après la chirurgie, il peut y avoir un certain inconfort ou une douleur au site chirurgical, qui peut être géré avec des analgésiques prescrits par votre fournisseur de soins de santé.Il est essentiel de suivre les instructions de gestion de la douleur postopératoire fournies par votre chirurgien.
Pour CZMEDITECH, nous avons une gamme de produits très complète d'implants de chirurgie orthopédique et d'instruments correspondants, les produits comprenant implants vertébraux, clous intramédullaires, plaque de traumatologie, plaque de verrouillage, crânio-maxillo-facial, prothèse, outils électroportatifs, fixateurs externes, arthroscopie, soins vétérinaires et leurs ensembles d'instruments de soutien.
En outre, nous nous engageons à développer en permanence de nouveaux produits et à élargir nos gammes de produits, afin de répondre aux besoins chirurgicaux d'un plus grand nombre de médecins et de patients, et de rendre notre société plus compétitive dans l'ensemble de l'industrie mondiale des implants et instruments orthopédiques.
Nous exportons dans le monde entier, vous pouvez donc Contactez-nous à l'adresse e-mail song@orthopedic-china.com pour un devis gratuit, ou envoyez un message sur WhatsApp pour une réponse rapide +86-18112515727.
Si vous voulez en savoir plus, cliquez sur CZMEDITECH pour trouver plus de détails.
Qu’est-ce qu’une plaque de verrouillage tibial distal médial ?
Plaque de verrouillage du radius distal VA : une solution avancée pour les fractures du poignet
Plaque de verrouillage Olécrane : une solution révolutionnaire pour les fractures du coude
Plaque de verrouillage de la clavicule : amélioration de la guérison et de la stabilité
Plaque de verrouillage tubulaire 1/3 : avancées dans la gestion des fractures
Plaques de verrouillage métacarpiennes : avancées dans le traitement des fractures de la main